
在快节奏的当下
狼吞虎咽和舍不得丢弃剩菜的习惯
让急诊室每年都接诊不少
“吃出来”的急症患者
63岁的张叔便是其中之一
他怎么也想不到
两个复热的剩包子
竟让他半只脚踏进了鬼门关
聚餐打包的叉烧包
差点要了他的命
张叔长期在深圳居住。一次家庭聚餐后,他将没吃完的广式叉烧包打包回家。起初,他吃完后呕吐了一次,以为只是肠胃不适,并未在意。当晚7点多,他将剩包子加热后吃了两个。
不久,剧烈的呕吐感再次袭来。而这一次,吐完的瞬间,他感到“胸口像被炸开了一样”,剧痛瞬间席卷了整个胸口、腹部,连带着半边背和腿都痛,使他瘫倒在地,无法起身。
家人立即将其送医。初步检查显示,其左侧胸腔有大量积液,但经止痛、引流后,疼痛丝毫未减,张叔的状态反而急转直下,濒临休克。
次日凌晨2点,他被紧急转送至北京大学深圳医院。此时,距离发病已过去7小时,而他尚不知晓,自己的食道已在剧烈呕吐中裂开了一道长达10厘米的口子,胃里的食物和强腐蚀性的胃酸正不断漏入胸腔。
多问一句话
从死神手里抢回一条命
转院时,患者病因成谜。在晨会交班时,胸外科主任刘继先敏锐地捕捉到一个关键细节,他多问了一句:“这个病人,发病前有没有呕吐?”“有!吃完包子之后吐了两次,吐完就开始痛了。”在得到肯定答复后,刘主任立即警觉,判断这可能是一种极为凶险的疾病——“自发性食管破裂”(Boerhaave综合征),并紧急安排了口服钡餐检查。
结果证实了他的判断:
钡剂从食道下段的裂口处
大量漏入了左侧胸腔
自发性食管破裂
是胸外科最凶险的急症之一
发病急、进展快、死亡率极高
刘继先指出,此病救治的关键在于“及时确诊”,发病后的24小时是黄金救治窗口期。一旦超过此时限,食道管壁会严重水肿、糜烂,变得无法缝合修补。
呕吐后胸痛千万别当胃病
人体的食道是一条连接咽喉与胃的肌性薄壁管道。刘继先解释道,人在剧烈呕吐时会下意识地憋气,导致声门紧闭,腹腔压力瞬间飙升。胃内容物被高压向上推挤,但上端出口被堵住,所有压力便集中作用于食道壁最薄弱处。
“就像吹气球,一直打气,最薄的地方总会先爆开。”
如果患者本身食道黏膜存在薄弱点,就可能在高压下发生全层破裂。
破裂的后果是灾难性的:胃内的食物、胃酸和消化液会直接涌入密闭的胸腔,迅速引发严重的胸腔感染、脓胸,进而导致脓毒性休克。
即使在医疗技术成熟的今天,其死亡率仍超过50%。更棘手的是其极高的误诊率(达70%-80%),因为其症状——剧烈胸痛、腹痛——与急性心梗、胃病、急腹症等极为相似,患者和首诊医生都容易忽略“呕吐”这一关键前驱症状。
多学科联动10厘米裂口被成功修补
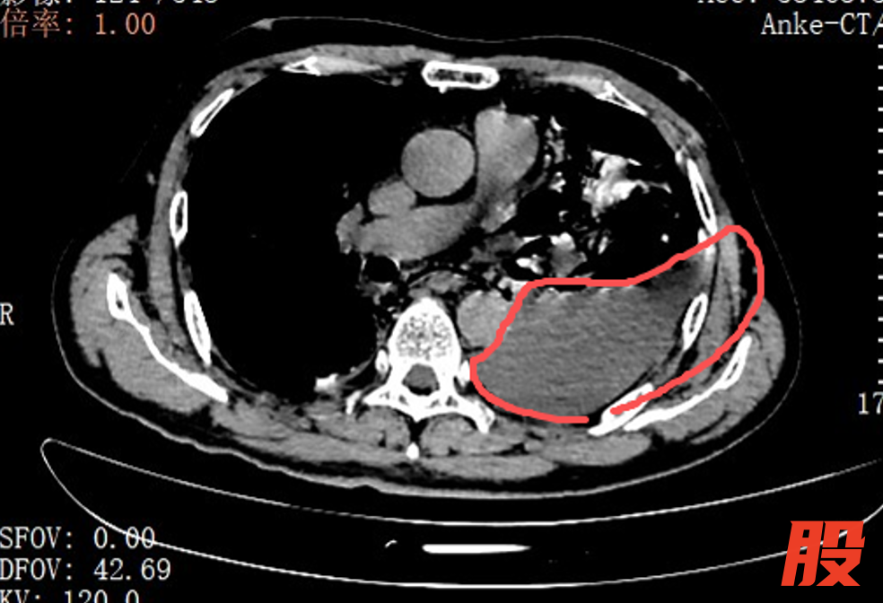
确诊后,胸外科手术团队当天即为张叔实施了胸腔镜下食道修补微创手术。打开胸腔后,眼前的一幕让医护人员震惊:整个左侧胸腔内充斥着叉烧包的菜叶、食物残渣,与脓液、消化液混合在一起。
手术团队花费了很长时间,才用吸引器一点点将这些污染物清理、冲洗干净。随后,他们找到了食道下段那道10厘米长的裂口,并用可吸收线小心翼翼地进行分层修补。

红圈区域是食物残渣、消化液破入食管
医生提醒:
这两个信号千万别不当回事
在高速运转的生活里,狼吞虎咽、暴饮暴食、酒后催吐这些看似平常的行为,背后都藏着风险。
大多数人都知道,吃东西呛到气管里会致命,却不知道,剧烈呕吐也会把食道吐破。呕吐后出现剧烈胸痛,很多人第一反应都是忍忍,或者去挂消化科、心内科,忽略了要去胸外科排查食道的问题。
日常进食一定要细嚼慢咽,避免干噎、暴饮暴食,呕吐时尽量不要强行憋气,减少食道承受的瞬间高压。
只要是剧烈呕吐后,出现了持续不缓解的剧烈胸痛、腹痛,要尽快去医院急诊,并且主动告诉医生“我呕吐过”。这是排查自发性食道破裂最关键的线索,或许能在关键时刻,救自己一命。
网友:这次真是涨知识了!
来源 : 新闻坊、深圳大件事
安联配资提示:文章来自网络,不代表本站观点。